MedBank株式会社

MedBank株式会社

  • MedBank株式会社
  • 企業情報
  • サービス
  • お知らせ
  • お問い合わせ

お知らせ

  • MedBank株式会社、最先端医療AI技術を発表 「アジアのテック&スタートアップフォーラム」に登壇
    2025年2月24日

    MedBank株式会社、最先端医療AI技術を発表 「アジアのテック&スタートアップフォーラム」に登壇

  • MedBank株式会社、「デジタルヘルススタートアップ ピッチイベント Demo Day」に登壇
    2025年2月10日

    MedBank株式会社、「デジタルヘルススタートアップ ピッチイベント Demo Day」に登壇

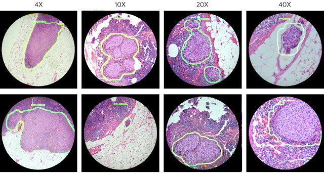
  • 医療画像AI診断企業MedBank株式会社と順天堂大学、AI技術を活用した病理診断に向け共同研究契約を締結
    2024年12月24日

    医療画像AI診断企業MedBank株式会社と順天堂大学、AI技術を活用した病理診断に向け共同研究契約を締結

  • MedBank株式会社、BioJapan / 再生医療 JAPAN / healthTECH JAPANへ出展
    2024年12月3日

    MedBank株式会社、BioJapan / 再生医療 JAPAN / healthTECH JAPANへ出展

  • 第67回日本甲状腺学会学術集会へ協賛企業として出展
    2024年12月3日

    第67回日本甲状腺学会学術集会へ協賛企業として出展

  • MedBank株式会社、ジェトロ『対内直接投資促進事業費補助金』に採択
    2024年6月22日

    MedBank株式会社、ジェトロ『対内直接投資促進事業費補助金』に採択

前のページ
1 2 3 4
次のページ
MedBank株式会社

〒 103-0012
東京都中央区日本橋堀留町1丁目9番10号
日本橋ライフサイエンスビルディング7

個人情報保護方針

© 2025 Copyright MedBank株式会社 / MedBank Co., Ltd.